インプラント

  1. TOP
  2. 診療一覧
  3. インプラント

インプラントについて

ABOUT IMPLANT

KENTECの画像

インプラントの臨床経験

当院では、臨床経験25年の実績をもとに、安心・安全なインプラント治療を提供しております。豊富な経験と高度な技術により、患者様それぞれの口腔状態に最適な治療計画を立案し、自然で快適な噛み心地を実現します。

当院のインプラント治療の特長

  • 精密な診断と計画:CT撮影やデジタル技術を駆使し、正確な治療計画を作成
  • 高品質なインプラント:信頼性の高いメーカーのインプラントを使用
  • 痛みに配慮した施術:麻酔技術を駆使し、できるだけ負担の少ない治療を実施
  • 長期的なメインテナンス:治療後も定期的なチェックとケアを徹底

25年の経験に裏打ちされた確かな技術で、安心してインプラント治療を受けていただけます。お気軽にご相談ください。

歯を失ってしまったら

入れ歯

入れ歯は、失った歯の代わりに取り外し可能な人工の歯を使う治療方法です。部分入れ歯や総入れ歯があり、取り外しできるため、清掃やメンテナンスが比較的簡単です。ただし、装着感に違和感を覚えることがあり、食事や会話時に不安定になることもあります。

入れ歯の画像

ブリッジ

ブリッジは、失った歯の両隣にある健康な歯を削り、その上に人工の歯を橋渡しで固定する方法です。手術の必要がなく、比較的短期間で治療が完了しますが、隣の健康な歯を削る必要があり、その歯に負担がかかることがあります。

ブリッジの画像

インプラント

自分の歯のような感覚で食べ物を噛みたい方には、インプラント治療をおすすめします。
インプラントは、失った歯の部位に人工の歯根を骨に埋め込み、その上に人工の歯を取り付ける治療法です。天然の歯に非常に近い見た目と機能を持ち、隣の歯に負担をかけることなく、長期的に安定した使用が可能です。

インプラントの画像

インプラントのメリット・デメリット

PROS AND CONS

  • 女性がリンゴを持っている画像

    メリット

    インプラント治療には、いくつかの大きなメリットがあります。
    まず、インプラントは天然の歯に非常に近い見た目と感触を持ち、他の歯と調和します。そのため、見た目の美しさを重視する方には特におすすめです。
    また、インプラントは高い耐久性を誇り、チタンなどの強度の高い素材を使用しているため、適切なケアを行えば長期間使用することができます。
    インプラントは骨にしっかりと定着し、噛む力が天然歯に近いため、食事を楽しむことができます。

    • 自然な見た目

    • 隣の歯を削らない

    • 高い耐久性

    • 自分の歯のように
      食事ができる

  • お金と電卓の画像

    デメリット

    一方、インプラント治療にはデメリットもあります。
    まず、保険適用外であるため費用が高額で、事前にコスト確認が必要です。また、手術を伴い、リスクや痛み、回復期間があるため通院の手間もかかります。インプラントが骨に定着するまで数ヶ月から1年以上かかり、治療期間が長くなることもあります。
    さらに、感染症のリスクがあり、アフターケアが不十分だとインプラントが骨と結合しない場合もあります。骨の量が不足している場合は骨移植が必要になることもあります。

    • 高額な費用

    • 治療期間が長くなる

    • 手術が必要

    • 感染症の
      リスクがある

治療について

TREATMENT

インプラント治療の一般的な治療期間は、下あごで約6ヵ月、上あごで約12ヵ月程度とされています。ただし、これはあくまで目安であり、歯周病などの歯の病気がある場合は、治療期間が長くなる可能性もあります。具体的な治療期間については、歯科医師と相談の上、確認することをおすすめします。

  • 治療期間

    歯がない
    状態

    歯がない状態のイラスト

    インプラント体
    埋入

    インプラント体埋入のイラスト

    上部構造
    取付

    上部構造 取付のイラスト
    約3~6ヵ月程度 約3~6ヵ月程度
    下あごで約6ヵ月/上あごで約12ヵ月 下あごで約6ヵ月/上あごで約12ヵ月
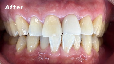
  • 症例

    症例のbefore画像
    症例のafter画像
    症例のafter画像
    治療内容 インプラント
    治療期間 3ヵ月
    性別/年代 男性/40代
    治療費 350,000円(税別)
    治療のデメリット 保険が効かないため自費診療になり、外科手術が必要。又、治療期間が下顎で3ヶ月上顎で4〜5ヶ月の治療期間を要します。
    担当医師
    コメント
    インプラント術前、術後のレントゲンと口腔内写真です。術後18年の症例です。状態は良好です。

費用と医療費控除

FEE

【※料金は全て税別】
検査/診察
/手術費用
ノーベルバイオケア : 280,000円
ケンテック : 230,000円
仮歯/人工歯
/被せ物費用
ノーベルバイオケア : 140,000円
ケンテック : 120,000円
メインテナンス費用 1,000~5,000円
骨造成 50,000円
サイナスリフト 150,000円

医療費控除

歯のそしゃく改善などが主な目的であるインプラントも医療費控除の対象になります。1年間に支払った治療費の合計が、10万円を超えた部分が医療費控除の対象になります。税金の還付額は収入により変わってきます。
還付請求は確定申告時に行えます。申請時に必要となりますので、治療でお渡しした領収書大切に保管してください。具体的な手続き方法は、お住まいの自治体のホームページや税務署へお問い合わせください。

  • 医療費控除とは

    自分や家族などのために一定額以上の治療費を支払った場合、税金の還付を受けられるという制度です。

  • 医療費控除の対象となる医療費の条件

    納税者がその年の1月1日から12月31日までの間に、自分または自分と生計を一にする家族や親族のために支払った医療費であることです。

医療費控除のポイント

交通費も含まれます
通院のための交通費も医療費控除の対象となります。申告には医療費の領収書と交通費の記録が必要です(自家用車での通院のガソリン代や駐車場代などは対象になりません)。
最も所得金額の多い方で申告
一般的にはご家族の中で一番所得金額の多い人が申告する方が、還付額も多くなります。
治療は家族揃って
治療は同じ年に、家族の方全員で治療を受けると、医療費控除を受けやすくなります。
5年前までさかのぼれます
医療費控除は、最長5年前までさかのぼって受けることができます。

治療の流れ

FLOW

  1. 01.ご相談・治療方針の決定

    01.診断・治療計画の策定

    歯の状態を丁寧にカウンセリングします。患者様によって、失ってしまわれた歯の数、インプラントの土台となる骨の硬度、治療する歯の位置や、その大きさにより、最適な治療方法を選ばせていただきます。CT撮影を行い、インプラントの治療計画を立てていきます。

  2. 02.インプラント治療の前処理

    02.インプラント治療の前処理

    インプラントを埋め込む前に、インプラント治療をする歯以外の虫歯・歯周病を治していきます。 また、インプラントを適切に骨に埋め込めるように、骨充填剤などを用いて骨を増やす処置、骨造成(こつぞうせい)を行うケースもあります。

  3. 03.一次手術

    03.一次手術

    治療部分の歯肉を切開し、顎の骨にインプラントを埋め込むための穴を開け、インプラントを埋めます。

  4. 04.安定期間

    04.安定期間

    一次手術後、インプラントが骨の中でしっかりと接合されるまでの安定期間を設けます(オッセオインテグレーション)。安定期間はインプラントを埋めた部位や骨の質などで個人差がありますが、約2ヶ月です。この間は仮の義歯を使用することもできます。

  5. 05.人工歯の成形・装着

    05.人工歯の成形・装着

    顎の骨に一体化したインプラントの頭部を切開により、露出させます。人工の歯を取り付けるための、土台(アバットメント)を取り付けます。
    歯並び・歯の形状・歯の色をチェックして制作した、セラミックでできた人工歯をインプラントに装着し、治療は終了となります。
    ※状況によって、上記の治療を二回に分けることがあります。

インプラント治療に関する
よくある質問(FAQ)

FAQ

  • Q.インプラント治療は痛いですか?

    A. インプラント治療は局所麻酔を使用するため、手術中は痛みを感じません。
    治療後は麻酔が切れると軽い痛みや腫れを感じることがありますが、痛み止めを処方されるため、通常は管理できます。痛みの感じ方には個人差がありますので、気になる方は事前に担当医に相談しましょう。

  • Q.インプラント治療を受けられない人はいますか?

    A. インプラント治療は、健康な骨が十分にある方に適しています。しかし、骨が不足している場合や、重度の糖尿病、心疾患、免疫系の病気がある方には適さないことがあります。また、未成年の方や妊娠中の方も治療が難しい場合があります。治療を受ける前に、担当医による詳細な診断が必要です。

  • Q.インプラント治療後の食事に制限はありますか?

    A. インプラント手術後は、治療部位に刺激を与えないように、最初の数日間は固いものや熱い飲食物を避け、柔らかい食事を摂ることをお勧めします。手術後の数週間は、食事や口腔ケアに注意が必要です。治療後、インプラントが骨としっかり結合するまでには時間がかかるため、歯科医の指示に従って食事内容を調整してください。

  • Q.インプラント治療後、どれくらいで元の状態に戻りますか?

    A. インプラント治療が完了するまでには、通常3ヶ月〜6ヶ月程度の期間がかかります。治療の流れには、インプラントの埋入から骨との結合(オッセオインテグレーション)、その後に人工歯を取り付ける段階が含まれます。人によって回復速度が異なるため、担当医と密に連絡を取りながら進めることが大切です。

  • Q.インプラント治療は一生持ちますか?

    A. インプラントは高い耐久性を持っていますが、必ずしも一生持つわけではありません。定期的なメンテナンスと適切な口腔ケアが重要です。歯磨きや定期的な歯科検診を怠ると、インプラント周囲炎(インプラント周囲の感染)を引き起こすことがあり、それが原因でインプラントがダメージを受ける可能性があります。適切なケアを行うことで、長期間にわたり使用することが可能です。

  • Q.インプラント治療を受けるには何回通院が必要ですか?

    A. インプラント治療は通常、数回の通院が必要です。最初の診察で検査・診断を行い、その後インプラントの埋入手術を行います。その後、骨とインプラントが結合するのを待つ期間(3ヶ月〜6ヶ月)を挟み、最後に人工歯を取り付ける手術を行います。治療は1回の手術では完了せず、数回の通院が求められます。