歯周病治療

  1. TOP
  2. 診療一覧
  3. 歯周病治療

歯周病治療について

PERIODONTAL DISEASE

歯周病治療について

歯周病は、歯を支える歯茎や骨に炎症を引き起こす病気で、日本の成人の多くが抱える身近な疾患です。自覚症状が少ないため気づかれにくいものの、進行すると歯を支える土台が弱まり、最終的には歯を失う原因にもなります。
歯を一生守るためには、定期的なケアと早期対応が欠かせません。歯周病について正しい知識を持ち、日々のケアを徹底することが大切です。
また、歯周病は口腔内の問題にとどまらず、全身の健康にも深く関わっています。
研究によると、歯周病が進行すると、糖尿病や心疾患、脳卒中など、さまざまな全身疾患のリスクを高めることが分かっています。歯周病によって炎症が体内に広がり、免疫システムに負担をかけるため、これらの病気と悪化を招く可能性があります。そのため、歯周病治療を早期に行うことが、全身の健康を守るためにも重要です。

歯周病の状態について

STATUS OF PERIODONTAL DISEASE

  • 歯周病の基礎知識

    歯周病は、歯周組織(歯を支える歯茎や骨)が歯周病菌によって炎症を起こしている状態のことを指します。
    初期の段階では、ほとんど自覚症状がなく、気づかないうちに進行してしまうことが多いです。しかし、症状が現れ始めると、歯茎(歯肉)が腫れて赤くなったり、触ると痛みを感じることがあります。
    このような状態が続くと、歯茎から出血が見られることもあります。特に歯磨き時や食事の際に出血が起こる場合、歯周病が進行している可能性があります。

    歯周病の基礎知識
  • 歯周病の進行状態

    1. 歯肉炎
      歯肉炎

      歯肉炎は、歯茎に炎症が起きて赤く腫れる状態で、初期の歯周病です。歯磨き時の出血や口臭が主な症状で、歯を支える骨には影響がありません。この段階での治療で回復が可能です。

    2. 軽度歯周病
      軽度歯周病

      軽度歯周病は、歯茎の炎症が進行し、歯周ポケットが1~3mm程度深くなる段階です。歯肉の腫れや出血が見られ、歯を支える骨が少し失われますが、早期に治療を受ければ改善可能です。

    3. 中度歯周病
      中度歯周病

      中度歯周病は、歯周ポケットが4~6mmに深くなり、歯茎が退縮し始める段階です。歯を支える骨がかなり失われ、歯がぐらつき始めることもあります。専門的な治療が必要です。

    4. 重度歯周病
      重度歯周病

      重度歯周病は、歯周ポケットが7mm以上に深くなり、歯茎の退縮と歯を支える骨が大幅に失われます。歯が大きくぐらつき、最終的には歯の喪失に繋がることが多く、早急な治療が必要です。

処置について

TREATMENT

  • 軽度歯周病

    • SC(スケーリング)

      スケーリングは、歯の表面や歯周ポケットに溜まった歯石やプラークを専門の器具で除去する処置です。
      歯石は日常のブラッシングでは取り除けないため、定期的なスケーリングで歯茎の健康を保つことが大切です。歯周病の予防や初期段階の治療に効果的です。

    • SRP(スケーリング&ルートプレーニング)

      スケーリングに加え、歯根面を滑らかにする処置がルートプレーニングです。歯根表面を平滑にし、歯周ポケット内の細菌の再付着を防ぎます。特に歯周病が進行した場合に有効で、歯肉が再び歯に付着しやすくなることを目指します。

  • 中・重度歯周病

    • フラップ手術

      歯周ポケットが深くなり通常のクリーニングでは対処できない場合、歯茎を一時的に剥離し、ポケット内の歯石や感染組織を徹底的に清掃する処置です。手術後、歯茎を元に戻して縫合し、ポケットの深さを改善します。

    • GTR(組織再生誘導法)

      骨の再生を促すために行われる治療法で、歯槽骨が失われた部分に特殊な膜を挿入し、周囲の組織の再生を誘導します。骨の再生を助け、歯の安定性を保つために有効な手法で、歯周病が進行したケースに適用されます。

    • CO2レーザー

      レーザーで深い歯周ポケットの中の歯周病菌を殺菌します。またさらに効果を高めるために、殺菌のための薬剤を併用する場合があります。

検査手順

CHECK PROCEDURE

  1. 01.問診

    01.カウンセリング

    患者の健康状態や歯科治療歴、生活習慣(喫煙、食生活など)を確認します。また、歯茎の出血や口臭、歯のぐらつきなど、症状についても尋ねます。

  2. 02.視診

    02.視診

    口腔内を確認し、歯茎の色、腫れ、出血の有無をチェックします。歯肉が赤く腫れている場合や、歯茎から出血が見られる場合は、歯周病が疑われます。

  3. 03.歯周ポケットの測定

    03.歯周ポケットの測定

    歯周ポケット(歯と歯茎の間の隙間)の深さを専用の器具(歯周プローブ)で測定します。正常な深さは1~3mmですが、4mm以上の深さがある場合、歯周病の進行が疑われます。

  4. 04.歯の動揺度の確認

    04.歯の動揺度の確認

    歯がぐらついていないか、動揺度を確認します。歯周病が進行すると、歯を支える骨が失われ、歯がぐらつくことがあります。

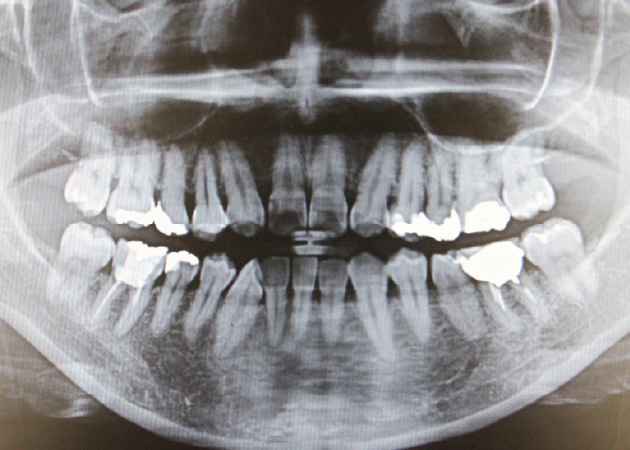
  5. 05.レントゲン撮影

    05.レントゲン撮影

    必要に応じて、レントゲンを撮影し、歯を支える骨の状態を確認します。骨の吸収(骨の減少)が見られる場合、歯周病が進行していることが分かります。

  6. 06.診断と治療計画の提案

    06.診断と治療計画の提案

    検査結果をもとに、歯周病の進行具合を診断し、治療方針を決定します。早期段階であれば、歯磨き指導やクリーニングで対応できることがありますが、進行している場合は、スケーリングや歯周外科手術などが必要になることもあります。