矯正治療

  1. TOP
  2. 診療一覧
  3. 矯正治療

きれいな歯並びで
身体も健康に

ROW OF TEETH

マウスピースを持つ女性

美しい笑顔は、健康な歯並びから始まります。当院では、患者様一人ひとりの個別のニーズに応じた矯正治療を提供しています。歯並びや噛み合わせの不具合は、見た目だけでなく、口腔の健康や全身の健康にも影響を及ぼすことがあります。
矯正治療を通じて、理想的な歯並びを手に入れることで、機能的な改善だけでなく、自信を持って笑顔を見せることができるようになります。

矯正治療の種類

TYPE

矯正治療は、患者様の年齢や歯の状態に応じて治療が異なります。
お子様の成長段階や発育に合わせた治療法から、成人の方に向けた幅広い選択肢まで、多様なアプローチが存在します。

  • 小児矯正(Ⅰ期治療)

    口を開ける女の子

    12歳頃までの、永久歯がきれいに生えそろうための治療となります。

  • 成人矯正(Ⅱ期治療)

    成人女性

    永久歯が生えそろった後、見た目や咬み合わせを整えるための治療となります。

小児矯正

PEDIATRIC ORTHODONTICS

  • 小児矯正は、成長期のあごや歯の発育を利用して歯並びや噛み合わせを整える治療です。早めに始めることで将来の負担を減らし、健康で美しい笑顔を育みます。

  • 小児矯正の必要性

    • 1.顎の成長を
      正しい位置に促せる

      成長期に矯正を行うことで、顎の発達を自然な位置に導きます。
      これにより、将来的なかみ合わせの安定と、バランスのとれた顔立ちをサポートします。

    • 2.抜歯することなく
      治療できる

      成長期の矯正は歯や顎が柔軟なため、抜歯せずにスペースを確保できることが多いです。
      自然な歯並びを整えるために効果的なアプローチです。

    • 3.コンプレックスを早期に解決できる

      子供のうちに矯正を行って美しい歯並びを手に入れることで、将来、口元の見た目で悩むことが少なくなり、自信を持って笑顔になれるサポートができます。

  • 小児矯正を始める時期

    小児矯正の開始時期は、お子様の個々の症状や成長に応じて異なります。
    一般的には、以下のような目安がありますが、あくまで参考となりますので、気になることがある際は一度ご来院ください。
    ※ただし、反対咬合・交叉咬合・開咬(かいこう)・上顎前突に関しては早期に開始することをオススメします。

    • 開咬
      3〜8歳頃

      開咬

      開咬は、上下の前歯が噛み合わずに隙間ができる状態です。早期に介入することで、成長段階に合わせた矯正治療が可能になり、将来的な歯並びを改善できます。

    • 反対咬合(下顎前突)
      3〜8歳頃

      反対咬合(下顎前突)

      上の歯が下の歯よりも内側に噛み合ってしまう状態です。この時期に適切な矯正を行うことで、顎の成長を助け、正しい噛み合わせを促進します。

    • 叢生(そうせい)
      8〜11歳頃

      叢生(そうせい)

      歯が生え揃う時期に、歯が重なったり不規則に並んだりする状態です。早期の評価と介入により、スペースを確保し、歯並びを整えることが可能です。

    • 出っ歯(上顎前突)
      3〜8歳頃

      出っ歯(上顎前突)

      上の前歯が下の前歯よりも大きく前に出ている状態です。成長期に適切な治療を行うことで、骨の成長を利用して噛み合わせを改善できます。

    • すきっ歯(正中離開)
      7~11歳頃

      すきっ歯(正中離開)

      歯と歯の間にすき間が空いてしまう状態です。見た目の気になる方が多いほか、発音や食べ物のつまり、かみ合わせに影響することもあります。矯正治療によって改善が可能です。

    • 交叉咬合(こうさこうごう)
      8〜11歳頃

      交叉咬合

      上の歯と下の歯が交差して噛み合っている状態です。早期に矯正治療を行うことで、正常な咬み合わせを回復させることができます。

  • 当院で使用する装置の種類

    • アライナー

      アライナー

    • 拡大床

      拡大床

    • プレオルソ

      プレオルソ

  • プレオルソ

    子どもの歯並びとお口の筋機能改善

    プレオルソは、子どもの歯並びやかみ合わせを整えるためのマウスピース型矯正装置です。主に乳歯と永久歯が混在する時期(5~10歳頃)に使用され、やわらかい素材で作られているため、痛みが少なく、簡単に装着できます。
    この装置は、主に口腔周囲の筋肉バランスを整えることで、歯並びの改善を促します。日中の一部時間と就寝時に装着するだけなので、通常のワイヤー矯正より負担が少なく、お子さまにも受け入れやすいのが特徴です。
    また、口呼吸の改善や、正しい舌の位置の習慣づけにも効果が期待でき、歯並びだけでなく口腔機能の発達にも良い影響を与えます。

成人矯正

ADULT ORTHODONTICS

  • 当院では、矯正治療を行う際に口腔全体をトータルに評価し、患者様の健康と美しさを同時に追求しています。
    単に歯並びを整えるだけでなく、顎の位置や噛み合わせ、さらには口腔内の環境全体を考慮することで、見た目の改善にとどまらない本質的な治療を提供しています。
    例えば、矯正治療中は虫歯や歯周病のリスクが増加しますが、包括的な治療体制により、これらのリスクを効果的に管理し患者様の口腔健康をしっかりとサポートします。
    矯正専門医による専門的なアプローチを通じて、患者様一人ひとりに最適な治療計画を提案し、全体的な健康をサポートいたします。

  • 当院で使用する装置の種類

    • 審美ブラケット矯正

      審美ブラケット矯正

    • アライナー

      アライナー

  • アライナー

    透明で目立たないマウスピース矯正

    アソアライナーは、日本国内で開発された透明なマウスピース型矯正装置です。ワイヤー矯正とは異なり、取り外し可能で目立ちにくいため、矯正治療中でも自然な見た目を保つことができます。

    アソアライナーの特長

    • 目立ちにくい:透明なマウスピースのため、装着していてもほとんど気づかれません。
    • 取り外し可能:食事や歯磨きの際に外せるため、口腔内を清潔に保ちやすいです。
    • 日本人向けの設計:国内で開発された矯正装置のため、日本人の歯並びに適した設計がされています。
    • 段階的な矯正:1〜2週間ごとにマウスピースを交換し、少しずつ歯を移動させます。
    • 部分矯正にも対応:前歯だけの軽度な矯正にも適しており、比較的短期間で治療が完了することもあります。

担当矯正医

ORTHODONTIST

  • 人のイラスト

    矯正専門医 N先生

    矯正治療に携わり長年の経験を積んでまいりました。お子さまから大人の方まで、一人ひとりに寄り添い、笑顔あふれる毎日をサポートいたします。

    経歴

    • 日本歯科大学 卒業

受診の流れ

FLOW

  1. 01.予約

    01.予約

    まずは電話やオンラインでご予約ください。ご希望の日程や時間をお知らせいただければ、スムーズに診療を進められるように調整します。
    急な症状がある場合も、可能な限り対応いたします。

  2. 02.無料相談

    02.無料相談

    矯正治療に興味のある方を対象に無料相談を実施しています。
    初めての方でもお気軽にご利用いただける機会です。専門の矯正医が、あなたの歯並びや噛み合わせの悩みをじっくりお伺いし、適切なアドバイスを提供いたします。

  3. 03.精密検査

    03.精密検査

    矯正治療を希望される方に対して、精密検査を実施しています。
    精密検査は、患者様の歯並びや噛み合わせの問題をより詳細に把握し、最適な治療計画を立てるために不可欠なステップです。

  4. 04.治療計画説明

    04.治療計画説明

    精密検査の結果を基に、専門医より治療の計画の説明があります。
    検査結果の分析、治療方法の選定、治療期間や費用・流れなどを説明します。
    再度、患者様のご希望をお聞きし決定していきます。

  5. 05.矯正開始

    05.矯正開始

    治療開始時には、装置の種類や治療計画が明確にされ、患者様と一緒に治療のゴールを確認します。装置の装着後は、定期的に通院し、進捗をチェックします。このプロセスを通じて、より健康的で美しい歯並びを実現するための第一歩を踏み出します。初めての方でも安心して治療を始められるよう、しっかりとサポートいたします。

  6. 06.治療終了と保定期間

    06.治療終了と保定期間

    治療が終了すると、矯正装置が取り外され、最終的な歯並びを確認します。この段階では、保定装置(リテーナー)が装着され、歯の位置を安定させるための期間が設けられます。
    保定期間は通常数ヶ月から数年で、定期的なチェックを通じて、歯の位置を維持します。これにより、治療効果を長期間にわたり持続させ、患者様の美しい笑顔を守ります。
    アフターケアを大切にし、健康な口腔環境を維持していきます。

症例

CASE

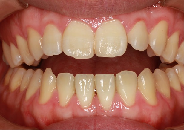
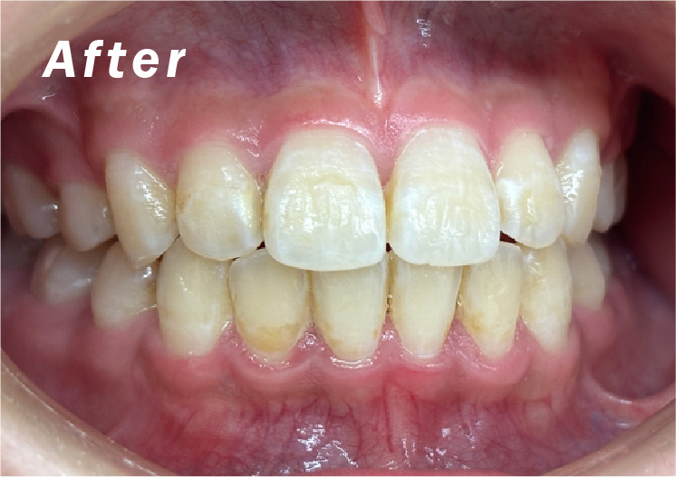
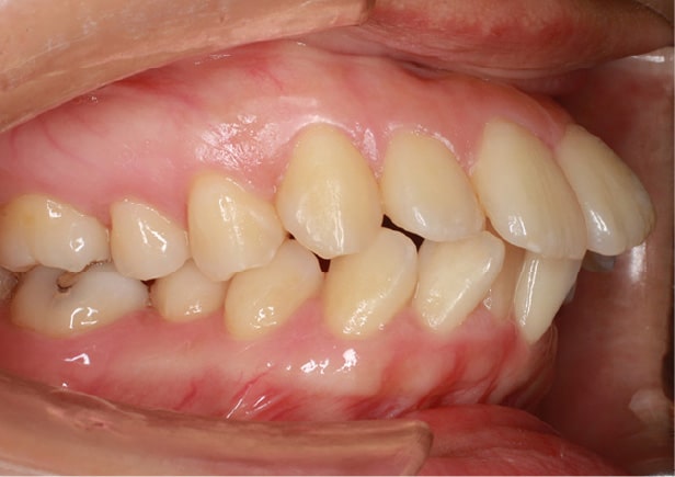
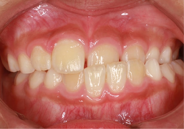
  • 症例1

    矯正bofore
    矯正after
    矯正種類 マウスピース矯正
    症例 すきっ歯
    治療期間 令和5年9月〜令和6年3月 6ヶ月
    性別/年代 男性/20歳9ヶ月
    治療費 上下顎 : 280,000円(税別)
    治療のデメリット
    • ・保険適用がされないので治療が高額になる
    • ・後もどり、再発と再治療の可能性がある
    • ・歯肉(歯ぐき)の退縮の可能性がある
    • ・歯根(歯の根っこ)の吸収の可能性がある
    • ・歯の失活の可能性がある
    担当医師
    コメント
    短期間でしっかり空隙も無くなりました。
    上顎だけの治療でしたが、その過程で下顎の叢生(でこぼこ)も綺麗になった好症例です。
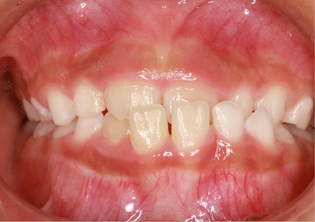
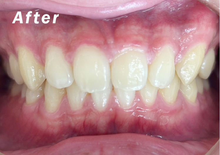
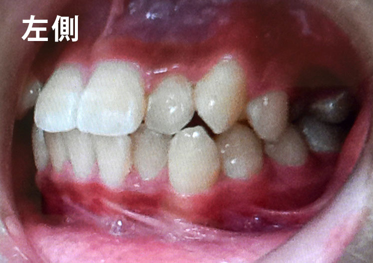
  • 症例2

    矯正bofore
    矯正bofore
    矯正bofore
    矯正after
    矯正after
    矯正after
    矯正種類 ワイヤー矯正
    症例 上下額叢生
    治療期間 2021年12月〜2024年10月
    性別/年代 男 13歳
    治療費 748,000円
    治療のデメリット
    • ・スペースを確保するために小臼歯の便宜抜歯が必要になる
    • ・保険適用がされないので治療が高額になる
    • ・後もどり、再発と再治療の可能性がある
    • ・歯肉(歯ぐき)の退縮の可能性がある
    • ・歯根(歯の根っこ)の吸収の可能性がある
    • ・歯の失活の可能性がある
    担当医師
    コメント
    適切な時期に治療が開始できたので、歯並びだけでなく顎や顔貌も理想的に成長しました。歯磨きもしっかりできるようになりました。

料金と医療費控除

FEE

  • 【※料金は全て税別】
    相談料 無料
    検査・診断料 30,000円
    基本料金(小児矯正) 85,000円
    基本料金(成人矯正) 680,000円~
    処置料 1,000~5,000円
    保定装置(リテーナー) 5,000円
    保定期間処置料 1,000円
  • 医療費控除

    歯のそしゃく改善などが主な目的であるインプラントも医療費控除の対象になります。1年間に支払った治療費の合計が、10万円を超えた部分が医療費控除の対象になります。税金の還付額は収入により変わってきます。
    還付請求は確定申告時に行えます。申請時に必要となりますので、治療でお渡しした領収書大切に保管してください。具体的な手続き方法は、お住まいの自治体のホームページや税務署へお問い合わせください。

    • 医療費控除とは

      自分や家族などのために一定額以上の治療費を支払った場合、税金の還付を受けられるという制度です。

    • 医療費控除の対象となる医療費の条件

      納税者がその年の1月1日から12月31日までの間に、自分または自分と生計を一にする家族や親族のために支払った医療費であることです。

    医療費控除のポイント

    交通費も含まれます
    通院のための交通費も医療費控除の対象となります。申告には医療費の領収書と交通費の記録が必要です(自家用車での通院のガソリン代や駐車場代などは対象になりません)。
    最も所得金額の多い方で申告
    一般的にはご家族の中で一番所得金額の多い人が申告する方が、還付額も多くなります。
    治療は家族揃って
    治療は同じ年に、家族の方全員で治療を受けると、医療費控除を受けやすくなります。
    5年前までさかのぼれます
    医療費控除は、最長5年前までさかのぼって受けることができます。